Menu
Write a review
File a complaint
Cancun Cosmetic Dentistry Profile

Cancun Cosmetic Dentistry

www.cancuncosmeticdentistry.com

Learn how the rating is calculated

1.7

Overall reputation rating based on reviews and complaints

Cancun Cosmetic Dentistry has an overall reputation rating of 1.7/5 based on 0 reviews and 6 complaints, indicating that the majority of dental patients are dissatisfied with their treatments.

Claim Your Business
Take control of your profile: address complaints and engage with reviews
Write a review File a complaint

Latest Reviews and Complaints

ComplaintsBoard
N
6:24 pm UTC
Verified customer This complaint was posted by a verified customer. Learn more

Cancun Cosmetic Dentistry horrible work and infection - stay as far away from these people as you can!!! run far away!!! crooked and unprofessional.

Stay as far away from these people as you can! Run far away! Crooked and unprofessional.

I just returned to the us on march 8th. I was very excited about the opportunity to get the work done at a cheaper price. Do not get surgery in another country. Cosmetic work is ok but not surgery.

Had bi-lateral sinus lift, 18 crowns and 8 implants, nine root canals. Been suffering from a chronic sinus infection since one week post surgery. Had to be taken to the emergency room in Cancun because of an upper respiratory infection. Found out that they perforated my upper left sinus and one of the lower left implants is infected. I heard the surgeon arguing about the implants. Being too close and perforated. Apparently Dr. Azate plays a bate and switch game with his patients. He'll sneak in additional implants for more money after you agree on one price. He's very dishonest. I'm disgusted because I brought it to their attention and they did nothing to address the issues. Today I just had oral surgery to fix the implant that got infected. Cost an additional $1200. And may have to have the implant removed. My total so far is $19, 000 for the work. An additional $3000 for the emergency room because of the sinus infection. $300 extra meds, in Mexico, extra hotel stay because the rude receptionist, didn't schedule my crowns until the day before departure. Additional 2000 for hotel. Additional 600 for flight changes, today's surgery 1200, and 600 for urgent Care for sinus infection last week. Been on antibiotics for at least 30 days. I'm very angry and my attorney will deal with them. The red flag was they keep changing their name. That's means they are being sued by other patients. Really crooked. STAY AWAY FROM THESE CRIMINALS!
Please contact me if you want to talk. [protected]@gmail.com.

Read full complaint and 1 comment
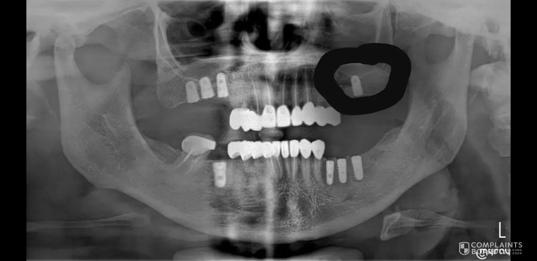
View 0 more photos
Hide full review
1 comment
Add a comment
G
G
Garfield Sproule
Calgary, CA
Send a message
Mar 05, 2022 9:56 pm UTC

I had two upper implants done by Arzate

Bone graft sinus lift was recommended.

He said he'd done thousands of them.

Bovine donor bone

Lost both immediately..2 months apart ..leaving me with communication between sinus and mouth.

10 weeks to heal each time

And still have sinus issues 9 years later .

Yup they delayed the crown placement on second visit until the day before my departure.

One implant twisted out removing the first poorly made crown.

The other I had removed a couple months later in Calgary back home.

$6700 USD ..paid out .

One lower implant remains out if all three.

But has no mate above.

Arzate told me he would give me a deal on next attempt ( not happening).

Or build a partial denture at a discount.

I'm not returning so asked for a partial refund .crickets ...

6 Cancun Cosmetic Dentistry Complaints

ComplaintsBoard
8:33 pm UTC
Verified customer The reviewer confirmed their account using Facebook. Learn more

Cancun Cosmetic Dentistry Implants

Please don't go to this clinic. They are impostor who do NOT care for you. They only care about getting your money. They are unprofessional and don't know what they are doing. Paid 25,000 and It all went in the fire. Dr Arzate is a fraud and a very good one. I was assaulted and had surgery against my will while I was sedated. Please what you see is my real name, search for me on FB I will give you all the documentations you need.

Read full complaint
Hide full review
ComplaintsBoard
2:37 pm UTC
Verified customer The reviewer confirmed their account using Facebook. Learn more

Cancun Cosmetic Dentistry Dental implants

I will start my story from when I decided to get my teeth fixed and overcome my dentist phobia. My finances after bad decisions made were in horrible shape and I could not afford a decent dentist in the US, the cost was prohibited... who has 60, 000 + cash on hand? I decided to search the internet and came across a dentist not foo far from South Carolina... sunny Cancun! His name is dr German Arzate. If I knew then what I know now! After numerous emails with Patricia Arciniega the coordinator at the clinic and after numerous assurances that he was the absolute best of the best in the field of dental implants and with an impressive certificate from the US and recommended by "top dentists" like Dr Shankar, Dr. Piermatti, Dr Minichetti, Dr D'Amore, I decided to go. After all all of those doctors represent the AAID and the ABOI. He boast certificates received by them in the US! My appointment was on July 1st 2019 with surgery on July 2nd. My son accompanied me and we were put in a small, dark, hot room to pay the almost 19, 000 dollars... I should have paid attention to the signs. The credit card kept on getting rejected and the secretary kept on trying and asked my son to keep on calling the bank until the transaction went through. What a big mistake... I wanted to get up and leave but she assured me that was just a glitch. I didn't find the clinic clean or the staff knowledgeable enough to make me feel comfortable nor the doctor for that matter. I actually found him to be arrogant and a big talker. He acts like he has seen it all and done it all. More to come on that. He has all of his staff trained to lie right to your face.. you know the type... darling, love, sweetheart we so happy to see you, you are in great hands, Dr Arzate is the best! They are the front field of the castle of lies... The "fluffers" as I call them. I don't know why to this day I defended him when I first came home. I guess I was scared he would leave me with half job done. I didn't even tell my own husband how bad or the pain I was feeling.in retrospect it was very foolish of me to suffer by myself. I say half job because as soon as I came back to the US... something was wrong, I had pain, unusual pain, redness and my gums were swollen, when I used the water pick, blood was coming out. I contacted Patricia Arciniega and after a series of emails I was told the doctor wanted me on antibiotic and to have my dentist here take a look at my infection... I contacted dr Hehr, top surgeon in the field here in SC... and he was shocked at the work that was performed. I was devastated, I went home with antibiotic for my infection that dr Hehr after much begging finally prescribed after I showed him the recommendation of Dr Arzate Clindamycin 300mg 3 times a day for 28 days. I became very depressed, I lost the only money we had saved... so depressed to the point I tried to commit suicide on July 26. Dr Arzate after convincing him I had problem with my implants, asked me to go back and so I did... more money spent on flight and hotel and I arrived on September 11 This time I was alone... He checked me out and told me surgery to remove one implant was scheduled for the next day and I had to pay for the anesthesia. I returned the next day and I was put to sleep. I felt pain during my surgery, I remember putting my hand inside my mouth several times and when I woke up, the left side of my gum was so swollen it literally was touching my cheek. Dr Puly apologized to me saying that it was her fault and then I also complained about the implant on the top left that was taken out and now there was a new one really crooked that was painful. They told me not to worry about it because the surgery was really fresh. Dr Arzate came in the next day showing me X-ray with a big grin telling me he did me a big favor and gave me a big present inserting 2 extra fat implants! Wait... I did not ask nor did I want more implants! Now... I was waiting for the immediate load again to come home with, instead they worked on sending me home with denture finding the excuse that my gums needed to heal for a couple of months. Every day I was there 16 days to be exact, I kept on complaining about my swollen gum and my implants hurting and of course they kept on telling me (dr Puly and Dr Arzate) that it was normal. At one point my denture was horrible, the 2 front teeth were off to the side by a lot (see picture) he was also trying to fix the bottom by pulling it with wire to make it fit... a complete disaster. After I came back to the US, my pain increased, pus started to come out, I couldn't wear the denture because the implants were hurting, I emailed, sent videos and in few words it was either my fault (because dr Arzate is the master), go to a dentist to have the implant removed or just take a plane and they would check it out. Easy right? Sure if I lived around the corner or have endless money hidden under the mattress. I showed them on the video that my gums were not even closed right, they did not put the stitches in the right places and they left them open so bacteria and food would go in... He had the audacity to write me a response saying... I am happy to see the implants are in your gums strong and you saw and verify when you were here that the implants were put in the correct place... ME? Really? How do I know? More Clindamycin 300mg, more pain... I was on that medication for a total of 56 days! The only thing I know for sure now is that your degree in Mexico as a "doctor" is not recognized in the USA. I am sure you could not even be a dental hygienist here without going back to school. I have come to realize that all this is a big huge scam including the ABOI and AAID. If you pay good money to Dr. Minichetti or Dr Shankar you get your certificate. This is something that NEEDS to be investigated by the medical board as the biggest scam I have ever come across. I am sure that it is good for dentists here in the US that want to continue their education, but to give this certificates to "dentists" abroad is like giving a loaded gun to a child and ask him to go play in a yard full of kids. I went to see another surgeon here, Dr. Mark F. Yampolsky, DDS and after taking X-Ray he recommended for 6 implants to be removed because either infected or situated wrong. Because I was still under warranty, I decided to go back to Cancun and have them removed. I endured again the expense of the plane ticket and hotel and I went back to the clinic where this time I brought my IPad to record the whole conversation. Dr. Maria Paula Villalobos and Patricia Arciniega were in the room telling me that my doctor was wrong and that dr. Arzate was in the hospital with kidney stone emergency (found out from a photo he was out of the Country). They told me that maybe one needed to be removed but they would check every single implants and planned surgery for the next day. I told them specifically that IF they needed to remove more than 2, to please remove all of the one my surgeon here in the US recommended. When I woke up from the surgery not only they removed just 3 but they put 4 more that I did NOT ask or wanted or gave my permission. This was done against my will. I feel raped, violated, they had no right to do that. As an aside note... I had my recording on the whole time during the surgery without them knowing about it. Every time I went to the office I recorded every single conversation. I am glad I did that because they had no problem telling me they record conversations with patients... now I have mine. I know it's illegal here in the US unless you tell the other person they are being recorded, but I guess in Mexico the law is different. They talked about other patients divulging their name and what a pain to deal with they were. Unprofesssional! I contacted Dr. Shankar and he said he was going to "Mediate" and to contact him after my return... he blocked me when he found out who the doctor in Cancun was because he is one of his best friend who hosts one of the AAID maxi course in Cancun... like I said... it's stronger than a mafia clan. I am still to this day in so much pain, the implants they left are still infected, they hurts and the people who give these "doctors" these certificate to operate under the false pretense they are trained in the US are filling their pockets to the tune of 100's of thousand of dollars... They have created a black hole that nobody can penetrate. It's a strong clan but somebody has to step up and do something. The procedure I had done it's called All-on-four and supposedly was invented by Dr Paulo Malo... well Dr. Arzate is taking credit and say he is the inventor (yes I have it on video) and it's the reason why I went to him in Cancun... who better to do the procedure than the inventor himself? I am beside myself how can this happen? When I confronted them about dr. Arzate not having kidney stones they blocked me from messaging them on FB. I have an appointment set up for February 24 2020, I want to have to pull all of the implants taken out.

I went on February 24 and my husband accompanied me. Dr Arzate took us in a room where he had a video recorder going. He went through most of the emails I sent including the one I sent to the AAID... shame on them for warning him. I also called out Patricia Arciniega since we were on video about her giving and talking about a patient that I has no business knowing.. where is the confidentiality? He explained that his intentions were always in my best interest and in his opinion the doctors here in the US were wrong and if they were saying different he wanted in writing so that he would be able to sue them (yes I had my own recorder on)

This time I paid attention, I took pictures of how filthy and unsanitary the room really was, dusty, I saw old blood spots...

He inserted 3 more mini implants so that I could have a stable denture and low and behold... I complained to Dr. Puli on the last day I was there that I was seeing pus coming out because the 2 implants were put on a spot that was already in question with infection. she of course dismiss me saying she didn't see anything and now March 5th... guess what? There is pus coming out and I am back home. BTW, I was put in the hallway where cleaning people go by with dirty broom and dust pan for my final checkup. I am done. I will file a complaint with the police if necessary for assault. I will write to the attorney general, newspapers, tv, legislators, but I will not stop.

And so you have it my whole story... Like I said what you see is my real name and you can contact me on FB.

STAY AWAY FROM THIS CLINIC

Read full complaint and 1 comment
View 0 more photos
Update by Tiziana Ruff
Mar 23, 2020 11:12 am UTC

I want my money back...I don't have any more time to spend going back and forth with no results. I will keep on posting where I can

View 0 more photos
Hide full review
1 comment
Add a comment
M
M
Ms.Nay
Rockville, US
Send a message
Mar 27, 2021 5:54 am UTC

I am so happy that you explained in detail your struggles, although I am sorry you are having such trouble. Might I suggest you create a YT video for others like me who are searching for information beforehand? All I see on there is this company singing there own praises but no one talks about the healing process of trouble.

Author of the review
Tiziana Ruff
Tiziana Ruff
MX
Send a message
Mar 27, 2021 8:28 am UTC
Verified customer This complaint was posted by a verified customer. Learn more
Replying to comment of Ms.Nay

Ms Nay email me and I will show you talking on video chat what I am dealing to this day... I have no teeth! let see if I can put the email here
q u e e n t I z ... at... g m a i l

ComplaintsBoard
8:09 pm UTC
Verified customer This complaint was posted by a verified customer. Learn more
Featured review
This review was chosen algorithmically as the most valued customer feedback.

For all the satisfied customers out there I am happy for you. I hope after a year or two you don't start having any issues. But for the people who have had nothing but problem after problem with this practice and/or Dr. German Arzate himself please read on, you are not alone. Dr. German does not care about his patients unless there is something in it for...

Read full complaint and 4 comments

Is Cancun Cosmetic Dentistry Legit?

Cancun Cosmetic Dentistry earns a trustworthiness rating of 91%

Highly recommended, but caution will not hurt.

Our conclusion: After a detailed review, ComplaintsBoard finds Cancun Cosmetic Dentistry to be a trustworthy company. Although there's a 16% resolution rate for customer complaints, which deserves attention, Cancun Cosmetic Dentistry is known for their high standards and safety. If you're thinking about dealing with Cancun Cosmetic Dentistry, it's wise to check how they handle complaints.

We found clear and detailed contact information for Cancun Cosmetic Dentistry. The company provides a physical address, phone number, and 2 emails, as well as 4 social media accounts. This demonstrates a commitment to customer service and transparency, which is a positive sign for building trust with customers.

The age of Cancun Cosmetic Dentistry's domain suggests that they have had sufficient time to establish a reputation as a reliable source of information and services. This can provide reassurance to potential customers seeking quality products or services.

Cancuncosmeticdentistry.com has a valid SSL certificate, which indicates that the website is secure and trustworthy. Look for the padlock icon in the browser and the "https" prefix in the URL to confirm that the website is using SSL.

Cancuncosmeticdentistry.com has been deemed safe to visit, as it is protected by a cloud-based cybersecurity solution that uses the Domain Name System (DNS) to help protect networks from online threats.

However ComplaintsBoard has detected that:

  • While Cancun Cosmetic Dentistry has a high level of trust, our investigation has revealed that the company's complaint resolution process is inadequate and ineffective. As a result, only 16% of 6 complaints are resolved. The support team may have poor customer service skills, lack of training, or not be well-equipped to handle customer complaints.
  • Website's registrar is popular among scammers, it means that a significant number of scammers have used that registrar to register domain names for their fraudulent websites. This can indicate that the registrar has lax verification processes, making it easier for scammers to register domains without providing accurate information.
  • Cancuncosmeticdentistry.com has relatively low traffic compared to other websites, it could be due to a niche focus, but could also indicate a potential lack of traffic and popularity. The cancuncosmeticdentistry.com may offer a niche product or service that is only of interest to a smaller audience.
ComplaintsBoard
C
7:36 am UTC

Cancun Cosmetic Dentistry Misleading, unethical and bad work

First of all, don't believe the "Painless" pitch. Bring your own pain pills because they don't provide them nor do they prescribe them but the rum is cheap.

Cancun Cosmetic Dentistry signature procedure, mini-implants and a denture is a farce. Any ethical dentist will tell you Mini implants used ONLY as a temporary while the standard implants heal, about 4 months. However, CCD passes them off as a permanent solution. I know this now because my denture broke and after appointments with many dentists, finally found a dentist that would make a new one for the mini's. However, the dentist needed the Mini implant specifications from CCD to order parts but CDD would not provide them to my dentist instead, CDD offered to make a new denture at an inflated price as if to say we got you now, bend over. I finally had it, throwing good money after bad and had all of CDD work removed and real implants installed.

Add to that adventure. While I was there, I had CCD cap my lowers. They were all done incorrectly known as TOOTH CROWN OVERHANG. I developed a chronic case of Pyorrhea and will have them all removed and re-crowned at a cost of $14, 000 that is if the tooth isn’t so decayed that they can’t install a crown.

I'm sure there is good dental work to be done in Mexico but BUYER BEWARE of Cancun Cosmetic Dentistry

Read full complaint and 2 comments
Hide full review
2 comments
Add a comment
M
M
Ms.Nay
Rockville, US
Send a message
Mar 27, 2021 5:58 am UTC

Wow...I wont be going...thank you for the warning.

Leslie Peppo
Leslie Peppo
US
Send a message
Sep 22, 2016 8:26 pm UTC
Verified customer This complaint was posted by a verified customer. Learn more

I'm sorry you're going through this nightmare. I won't stop complaining until my issues are resolved

ComplaintsBoard
M
10:00 am UTC
Resolved
The complaint has been investigated and resolved to the customer’s satisfaction.
Featured review
This review was chosen algorithmically as the most valued customer feedback.

Warning about unethical dentistry in Cancun Cosmetic Dentistry and Dr. Arzate in Cancun. I am Mexican dentist who use to work with Dr. German Arate. I stopped working with them because I could not stand their unethical practices with Americans and Canadians. Cancun Cosmetic Dentistry is like a revolving door for new inexperienced dentists. Dentist are...

Read full complaint and 66 comments

Cancun Cosmetic Dentistry complaints: history and resolution overview

Cancun Cosmetic Dentistry has received 6 complaints on ComplaintsBoard. The first reported case, Bad Dental Work / Unethical Dentists, was published on Dec 19, 2012, and the most recent complaint, horrible work and infection - stay as far away from these people as you can!!! run far away!!! crooked and unprofessional., was posted on Apr 13, 2020.

Out of all reported cases, 1 complaints (16%) have been marked as resolved, while 5 complaints (84%) remain unresolved. The most recent resolved complaint, Bad Dental Work / Unethical Dentists, provides additional insight into how customer issues have been handled.

Customer feedback spans multiple years and reflects a range of user experiences. A majority of complaints remain unresolved, which may be important to consider when evaluating the company.

👉  Submit a complaint about Cancun Cosmetic Dentistry
Trust badge
Collect Your Trust Badge
Be recognized for outstanding customer service