Menu
Write a review
File a complaint
CB Dog Breeders Review of red cedar labs
red cedar labs

red cedar labs review: mike wallace ( 11 comments)

R
Author of the review
10:19 pm UTC
Review updated:
Featured review
This review was chosen algorithmically as the most valued customer feedback.

I purchased a puppy from Red Cedar Labs in Fowlerville MI at 1775 Damman Drive. I spoke to Mike Wallace, who claimed he was the owner and had taken on the business as a source to fund his children's supposable college fund. I was so happy to get a puppy that was AKC registered. Mike was quite the salesman and was very informative. Very happy to take my cash, as he did not want any other source of payment. But when I asked him to provide me with the papers that I paid for my dog, he was unable to provide. I have spoken to neighbors and other people in the community and they gave me the same information about him Be very careful when purchasing a puppy from this man He is a professional conartist and does not follow through with his promises. I am very concerned that my puppy is not even akc certtified I worry about these type od people. Want people to know if they want honesty, he is NOT to be trusted Check his Record! !

Company Business Name: Red Cedar Labradors

Country of complaint: United States

Address: 1775 Damman Rd, Fowlerville, Michigan

Phone: 517-202-0771

11 comments
Add a comment
M
M
M King15
Pittston, US
Send a message
Sep 21, 2015 8:04 pm UTC

Check this link out, Labrador puppy — Not AKC and sick puppy

mike wallace owned wallace labs and changed his name after his extreme dishonesty and wrong doing to buyers, looks like he is at it again. When i bought my puppy, I recived fake papers, while in his home on daiman rd in fowlerville, I smelled and seen alot of marijanna plants and he showed me his extensive gun collection. After contacting my attorney, my attorney ran his background and he has mulitple felonies, he isnt supposed to have guns as a felon. and a assult charge on his now ex wife and spend 1 year in jail for that. RUN !

S
S
Susquach
Jackson, US
Send a message
Apr 03, 2016 6:58 am UTC
Verified customer This complaint was posted by a verified customer. Learn more

I would like to know what was wrong with you're puppy and what was your outcome.I don't know but I don't think It's any of your business if someone grows weed in their own home .To each his own, right? I guess what I'm saying is everyone has a past whether good or bad, what does his past have to do with the dogs?Maybe you have a legitimate complaint, I don't know, I'm sure I am about to find out because I just purchased a puppy from this person.I will deal with whatever comes up concerning my puppy.You actually talked to his neighbors, that's a little weird to me.Anyway, hope "God" will take care of my puppy and I can only hope Mike does the right thing.

T
T
Trentj
Auburn Hills, US
Send a message
Jul 07, 2023 1:53 am UTC
Verified customer This complaint was posted by a verified customer. Learn more

Text message I sent Mike: “ Luka has had 3 Giardia treatments. 1 from you and 2 from the vet. The first treatment killed coccidia but not Giardia. 2nd treatment wasn't effective. He now is getting another 10 days treatment for Giardia. The amount of money I've spent is crazy. I can provide records for the last treatment. I'm picking up the medicine for his fourth treatment tomorrow. Because of this he has missed his socialization window with other dogs, and more importantly, we haven't been able to take him to the multiple training classes we wanted him to go through, like we had planned. I would greatly appreciate a refund in the amount of $350, which would be the completion of a full refund. I understand you're trying to run your kennel and business, but I cannot keep up with these vet costs that are from a disease he got at your kennel. I specifically adopted a dog from a breeder, and not a rescue because I had the expectation that industry standards would be followed, and that this would not be an issue. I wasn't given any information prior to the sale of the dog that he was being treated for parasites, or that you had an issue with parasites.”

Still awaiting a response and have only been refunded $300 of the $750 I paid.

M
M
Melinda L
Waterford, US
Send a message
Sep 01, 2023 9:52 pm UTC
Verified customer This complaint was posted by a verified customer. Learn more

I purchased my first dog from Cedar River (Mike Wallace) in March of 22. She came home with coccidia, a few months later she came up lame with a Luxating Patella. ($2000.00 surgery and she’s better, mostly) I contacted Mike and he was more than happy to give us another pup. When the time was right we picked up our chocolate girl in March of 23. While these dogs temperaments are amazing, this dog was sick too. Giardia, Coccidia, Bladder Infections, many trips to the vet. I consider these dogs a rescue after seeing what conditions I took this pup home from.

I have attempted to contact Mike to get the AKC paperwork on this pup. He’s blocked me on Facebook, avoiding my text messages (I’m assuming blocked) and I’m sure they won’t read my email either.

Do not purchase from him unless you have a big wallet to help cover costs.

I will also be calling AKC as he claims these dogs are AKC limited registered.

T
T
Trentj
Auburn Hills, US
Send a message
Sep 01, 2023 11:01 pm UTC
Verified customer This complaint was posted by a verified customer. Learn more
Replying to comment of Melinda L

I believe our pups may be siblings. I adopted Luka on March 8th of this year. He also had Giardia and Coccidia. We had a nearly identical experience, I posted here about my experience in July and I’m STILL awaiting a response. Luka is absolutely my best bud, regardless of the unexpected vet expenses. As a college student, it was difficult to manage.

M
M
Melinda L
Waterford, US
Send a message
Sep 02, 2023 8:10 am UTC
Verified customer This complaint was posted by a verified customer. Learn more
Replying to comment of Trentj

I am so frustrated. To be blatantly ignored and blocked from websites. Here is my pups info, but I’m starting to think most of it is made up.

View 0 more photos
T
T
Trentj
Auburn Hills, US
Send a message
Dec 18, 2024 7:07 am UTC
Verified customer This complaint was posted by a verified customer. Learn more
Replying to comment of Melinda L

Absolutely! By the way, Luka ended up being allergic to all meat and dairy and several environmental allergies. He is on a vegetarian diet, takes apoquel, and is receiving immunotherapy. I’ve spent thousands and thousands of dollars and he is still a month out from being 2, if the paperwork was correct. His mom is Chloe and dad is Duke. Be careful, several of dukes offspring have died young, developed cancer, enlarged heart, and hip and leg issues.

M
M
Michael Petersimes
Westland, US
Send a message
Jan 29, 2024 5:20 pm UTC
Verified customer This complaint was posted by a verified customer. Learn more

Do your due diligence with this breeder! He doesn't get any testing done, including genetics for his sir or dam. IS aware of issues with cancer and his dogs. We lost a wonderful 4 year old lab to Lymphoma. If anyone attempts to reach out to fellow litter mates that are unaware of the potential issue on Facebook, he deletes the messages. Our Luke was from the Duke and Dakota litter from June 2019. Our hope is that fellow littler mates or puppies from Cedar River consider testing and speaking with your veterinarian. This is a silent killer, and when symptoms present themselves, is already too late. He continues to breed Duke even with the knowledge he's been given. Money over compassion should be a warning sign in itself.

M
M
Melinda Leffert
Howell, US
Send a message
Aug 27, 2024 1:27 pm UTC
Verified customer This complaint was posted by a verified customer. Learn more
Replying to comment of Michael Petersimes

Yes! Do not use this breeder. When he is questioned, he will ignore you OR block you from his facebook (and his group). I would actually consider his dogs rescue dogs, conditions are horrific and the dogs are SICK. My chocolate lab is now fearful with high anxiety. Do NOT buy from him.

I want this man stopped and my next stop is animal control and reporting him there. The coniditions are deplorable.

W
W
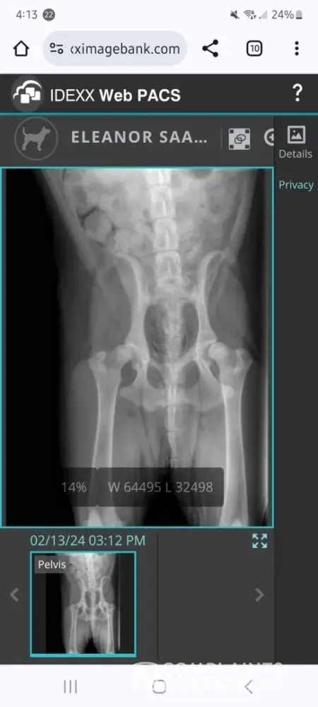
Wendy Saaristo
Howell, US
Send a message
May 27, 2024 3:16 pm UTC
Verified customer This complaint was posted by a verified customer. Learn more

We adopted our second lab from CRL in June of 2023. She was treated for Giardia and Coccidia. At 9 months, she was diagnosed with Severe Bilateral Hip Dysplasia. All of the vets that we consulted (primary, orthopedic specialist as well as her surgeon) have stated this is a genetic condition and recommended we reach out to the breeder to make them aware, and also so they could stop breeding those dogs. My wife attempted to reach out to CRL and received no response. She then posted on the CRL Facebook group page and was promptly blocked. They have made no attempt to reach out to us, or acknowledge any of our dogs health conditions. (All pups are sent home with a 'Health Guarantee'). Ellie is having her hip replaced tomorrow, she is 13 months old and her parents are Duke and Molly.

View 0 more photos
M
M
Melinda Leffert
Howell, US
Send a message
Aug 27, 2024 1:28 pm UTC
Verified customer This complaint was posted by a verified customer. Learn more
Replying to comment of Wendy Saaristo

Yep, i had the exact same experience, the minute he is questioned he is blocked. While I love my dogs, he is an unethical breeder.